
细胞黏附(Cell adhesion)由专门的细胞-细胞连接提供,主要是黏附连接 (Adherens junctions)、桥粒(Desmosomes)和紧密连接(Tight junctions)。细胞间黏附受细胞黏附分子(Cell adhesion molecules)的控制,这些分子在细胞连接处识别不同的配体。现在已知多种类型的细胞-细胞黏附分子,如钙黏蛋白、整合素、免疫球蛋白超家族成员、选择素等。细胞-基质黏附是细胞与细胞外基质的相互作用,由多蛋白黏附结构(例如黏着斑和半桥粒)介导。由于细胞黏附受体与信号转导通路相连,这些细胞-细胞和细胞-基质相互作用调节细胞表型、存活、分化和迁移。异常细胞黏附导致多种病理发生,包括癌症转移、血管疾病和炎症。
关键研究靶点
上皮-间质转化(Epithelial–mesenchymal transition, EMT)是一个生物学过程,它允许极化的上皮细胞通过基底表面与基底膜相互作用,经历多种生化变化,获得间质细胞的许多特征,包括迁移能力和侵袭性增强、对凋亡的抵抗力提高,以及细胞外基质(ECM)成分的产生大大增加。参与EMT过程控制的信号通路有:酪氨酸激酶受体(RTKs)、转化生长因子-β(TGF-β)、Notch蛋白、整联蛋白(Integrin)、WNT蛋白以及基质金属蛋白酶(MMP)等。几种细胞内在信号转导途径共同诱导EMT转录因子(ZEB,SNAIL和TWIST)的表达,具有多效性。在许多情况下,EMT所涉及的关键分子也被用作生物标志物,来鉴定EMT的发生及肿瘤的浸润和转移。
关键研究靶点
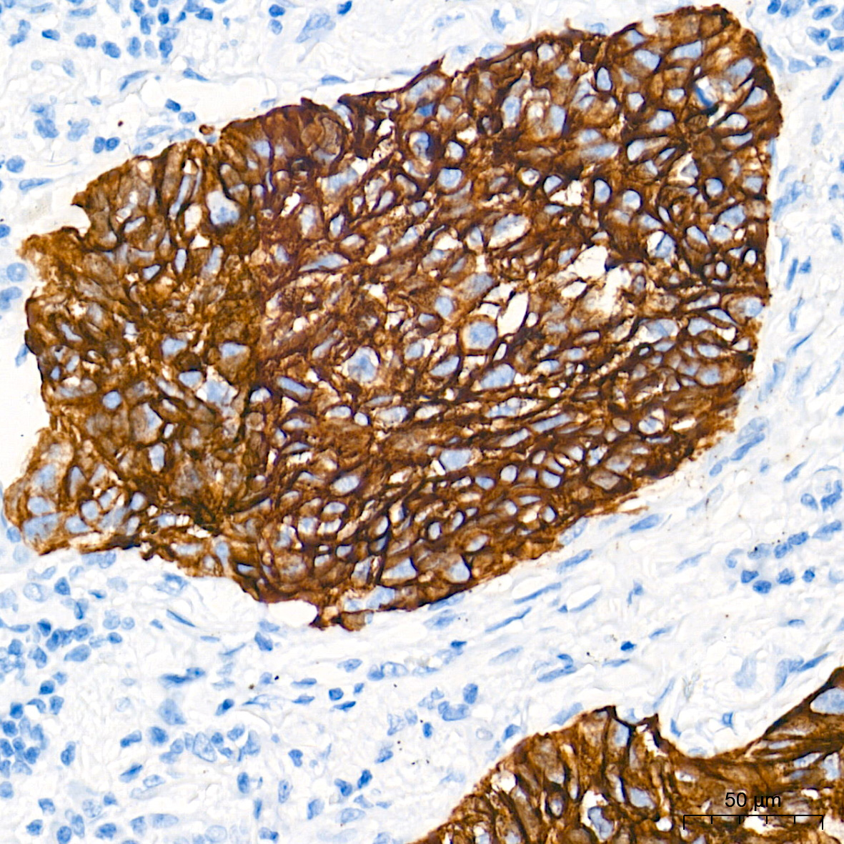
细胞外基质(Extracellular matrix, ECM)是细胞外分泌的大分子的复杂网络,其主要功能涉及细胞和组织的结构支架和生化支持。ECM可分为基底膜(BM)和间质基质(IM)。基底膜(BM)由胶原、层黏连蛋白、PGs和FN组成,位于薄壁组织和结缔组织之间的界面,可作为癌细胞侵袭、浸润和外渗的结构屏障。IM是一种松散的ECM,由胶原蛋白I和III、弹性蛋白纤维和糖蛋白组成,在肿瘤进程中,IM中的胶原纤维更厚、更致密。赖氨酰氧化酶(LOX)家族催化胶原交联的形成,在肿瘤中,LOX表达增加导致胶原过度交联,硬度增加,从而引起肿瘤中的固体应力。除胶原改变外,ECM中还有各种糖蛋白的病理表达,所有这些都形成一个生态位,促进细胞迁移、黏附和转移。
关键研究靶点
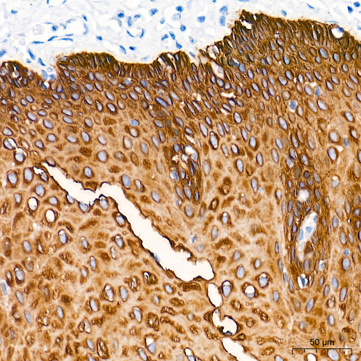
细胞骨架(Cytoskeleton)由微管(Microtubule)、微丝(Microfilament)及中间纤维(Intermediate filament)组成,是细胞器互作和细胞间交流的结构基础,在胚胎发育和机体稳态平衡的建立和维持等生理过程中发挥重要作用。微管主要由α及β微管蛋白组成,微管数量的减少是细胞恶性转化的重要标志。微丝主要由肌动蛋白(Actin)构成和肌球蛋白(Myosin)一起发挥作用,在肿瘤细胞内原有的微丝束明显减少甚至消失,常出现肌动蛋白凝聚小体。中间纤维常由波形蛋白(Vimentin)、角蛋白(Keratin)、结蛋白、神经元纤维、神经胶质纤维构成,在肿瘤中瘤细胞仍能基本保持其起源细胞的中间纤维类型,这有助于确定肿瘤组织的起源。细胞骨架信号会受到包括Rho家族以及它们的下游蛋白激酶效应器Rho激酶(ROCK)和p21活化激酶(PAK)的调控。
关键研究靶点
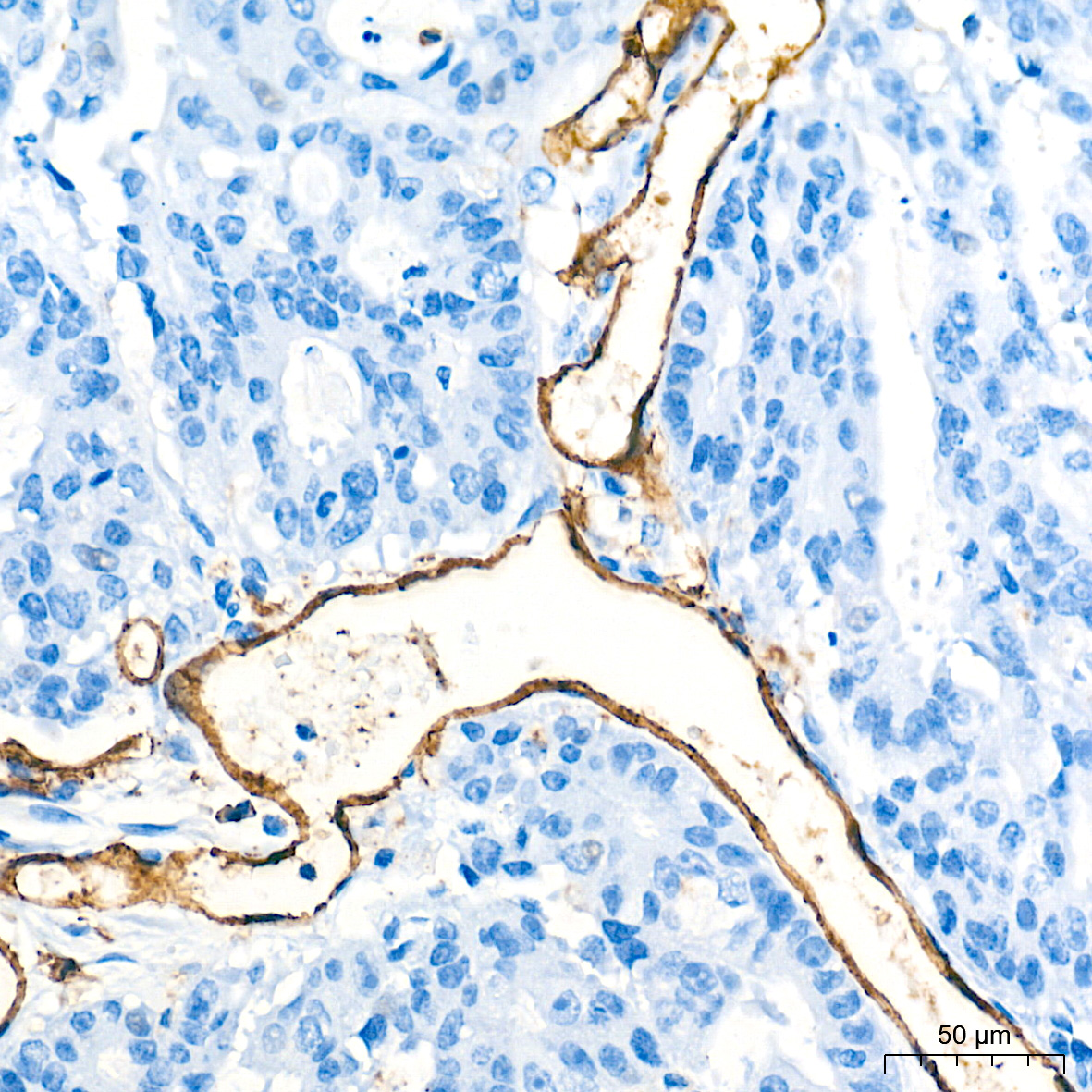
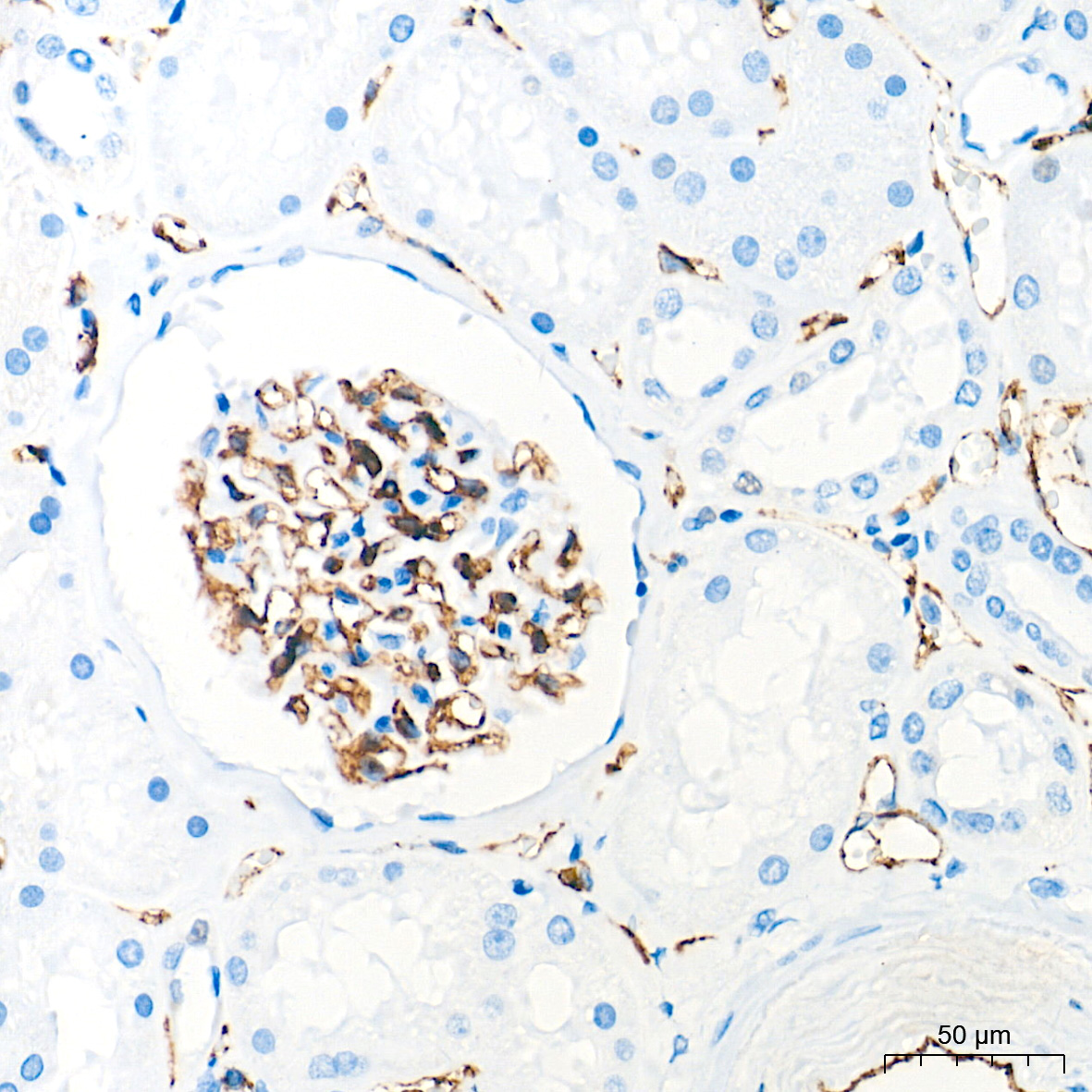
肿瘤血管生成(Tumor angiogenesis)是一个极其复杂的过程,一般包括血管内皮基质降解、内皮细胞移行、内皮细胞增殖、内皮细胞管道化分支形成血管环和形成新的基底膜等步骤。肿瘤血管生成的发生一方面是由于肿瘤细胞释放血管生成因子激活血管内皮细胞,促进内皮细胞的增殖和迁移,另外一方面也是因为内皮细胞旁分泌某些血管生长因子刺激肿瘤细胞的生长。在内部肿瘤团块缺氧环境下,缺氧诱导因子-1 (HIF-1) 的二聚蛋白复合体得以保持稳定,并激活众多导致血管生成过程的基因的表达。HIF-1诱导的蛋白包括血管内皮生长因子 (VEGF) 和碱性成纤维细胞生长因子 (bFGF)。血小板源性生长因子 (PDGF)、血管生成素-1 (ANG-1)、血管生成素-2 (ANG-2) 等其他分泌因子会促进趋化性,而肝配蛋白信号转导会控制迁移和细胞间黏附,从而引导新形成的血管。
关键研究靶点
目前药物疗效的研究多在2D肿瘤模型、PDTX中进行,由于缺乏肿瘤异质性以及存在物种差异,大多数药物在体内和体外,甚至不同体外模型中表现出不同的药物敏感性。肿瘤类器官在预测患者治疗反应方面具有较高的准确性。近年来,多种肿瘤类器官在临床药物评价中表现出巨大的潜力,肿瘤类器官与患者的药物反应一致,可用于预测患者治疗反应,填补了传统临床前模型在明确药物疗效方面的缺陷。类器官的形成需要单个细胞或小细胞群增殖并重组为复杂的、有组织的细胞簇,这些细胞簇模仿给定器官的某些结构和功能特征。尽管干细胞具有分化的潜力,但有必要添加促进单个细胞分化成所需细胞类型的细胞因子。不同类型的类器官在培养过程中需要的细胞因子不同,培养的细胞可以通过添加不同的细胞因子来促进或抑制特定的信号通路,从而定向发展成我们感兴趣的细胞谱系,所以各种细胞因子的添加对类器官培养的成功与否至关重要。
类器官药物评价推荐蛋白产品
| 蛋白 | 名称 | 物种 | 基因ID | 货号 |
|---|---|---|---|---|
| EGF | Recombinant Human EGF Protein | Human | 1950 | RP01030 |
| R-spondin-1 | Recombinant Human R-spondin-1 Protein | Human | 284654 | RP00071 |
| Noggin | Recombinant Human Noggin/NOG Protein | Human | 9241 | RP01237 |
| Wnt-3a Surrogate | Recombinant Human Wnt-3a Surrogate Protein | Human | RP01618 | |
| bFGF | Recombinant Human FGF-2/bFGF Protein | Human | 2247 | RP01042 |
| bFGF | Recombinant Mouse FGF-2/bFGF Protein | Mouse | 14173 | RP01345 |
| BMP-4 | Recombinant Human/Mouse/Rat BMP-4 Protein | Human/Mouse/Rat | 652 | RP02512 |
| BDNF | Recombinant Human/Mouse/Rat BDNF Protein | Human/Mouse/Rat | 627 | RP01243 |
| FGF-10 | Recombinant Human FGF-10 Protein | Human | 2255 | RP01140 |
| HGF | Recombinant Mouse Hepatocyte growth factor/HGF Protein | Mouse | 15234 | RP01584 |